前の記事:右足 腓骨骨折⑦ 数か月~11か月後、緩やかな回復 リハビリ期間 TAKEUMA's blog 骨折から約11か月。ようやく固定している金属プレートの除去手術。事前の説明で、"ちょっと我慢してくれるなら、部分麻酔で日帰り手術で行きます。術後も歩いて帰れますよ" との骨折の手術後にお酒はng!いつからok? 骨折の痛み止め薬のメリット、デメリット/気を付けるべきことは 足首の骨折でプレートを除去する手術の入院期間はどのくらい? 足首を骨折した時の手術方法/全治期間はどのくらい?手術当日(手術後) 手術後1日目 「脛骨/腓骨骨折抜釘」入院診療計画書 治療について (手術日・退院日など) 排泄について 様 経 過 入院当日 手術当日(手術前) 患者さん及び ご家族への説明 安静度・リハビリについて 食事について 薬剤について
脛腓骨骨折 髓內釘手術後 自我怎樣判斷骨頭已長好 Getit01
腓骨骨折 手術 完治
腓骨骨折 手術 完治- 11 年 7 月 24 日 アラフォーにして人生初の 骨折 & 手術 骨折 から 完治 までの 骨折記録 骨折 して 日たったけど、この先どうなるの? など 実際私が知りたかった 生の声 を 骨折 してしまった皆様に ちょっとでもわかりやすくお届けできたらいいなぁ・・・ 右足腓骨骨折~手術~リハビリの記録① 40歳にして初めて大きなけがをしました。 右足の腓骨を骨折し、入院ー手術ーリハビリ通院の経験を書いておこうと思います。 1回目の記録は骨折から救急外来での処置までです。 1



Q Tbn And9gctx2ycjzgvviyppva09j8z2ikupzxw4c7ar1r 2gx7tunrr E1 Usqp Cau
腓骨骨折需要做手術嗎 做與不做恢復時間分別多久 各有什麼隱患 做的話是怎樣一個過程 31歲? 1226 補充,醫生說脛腓骨骨折但沒明顯移位 脛骨裂痕不大可以不用手術 腓骨骨折處距離比較遠 不做手術可能要四個月才能下地 目前快消腫了 不動到基本不疼ます。腓骨を整復するには、骨折片の先端で骨膜を 2 mm むき ます。整復されたら、骨折片を一時的に固定します。長さと位置 を維持し骨折部位全体を圧迫するために、ラグ ネジを配置しま す。 注意:ラグ ネジまたはネジは、プレート配置を妨げたり腓骨腱 腓骨遠位骨折(手術後~退院までの2週間) 第3弾目の日記 中々タイムリーに書けないけども・・PCにじっと向かうのが足がしびれるので 気乗りがしない しかし、どんどん記憶が薄れるので・・ &知らなかった入院の仕組みやリハビリなど調べたことも
前回記事:右足 腓骨骨折② 数日~1週間 TAKEUMA's blog 怪我から11日目。足のむくみはあるものの、手術日を迎えました。人生初の手術&入院。予定では、腓骨にプレートを当てて、横からネジで止める施術。じん帯の状態によってはその修復等も実施する。 脛骨・腓骨骨折 (入院~手術後まで) 夫が転んで足を骨折し、入院・手術しました。 その経過記録です。 (水) お昼過ぎに「足怪我して今病院にいる」と電話が入る。 この日はたまたま母が整形外科の通院日になっており、夫は病院で私の 抜釘手術の後 脛骨腓骨を骨折し1年2ヶ月ぶりにプレートが外れました。 プレートが入っていると、足が冷えるかんじ、かたくて重いかんじ、そして走ると痛かった、、。 プレートがはずれるとどんなふうになるのか?
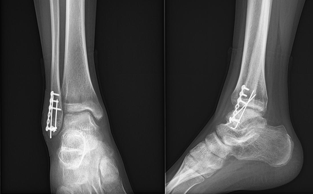
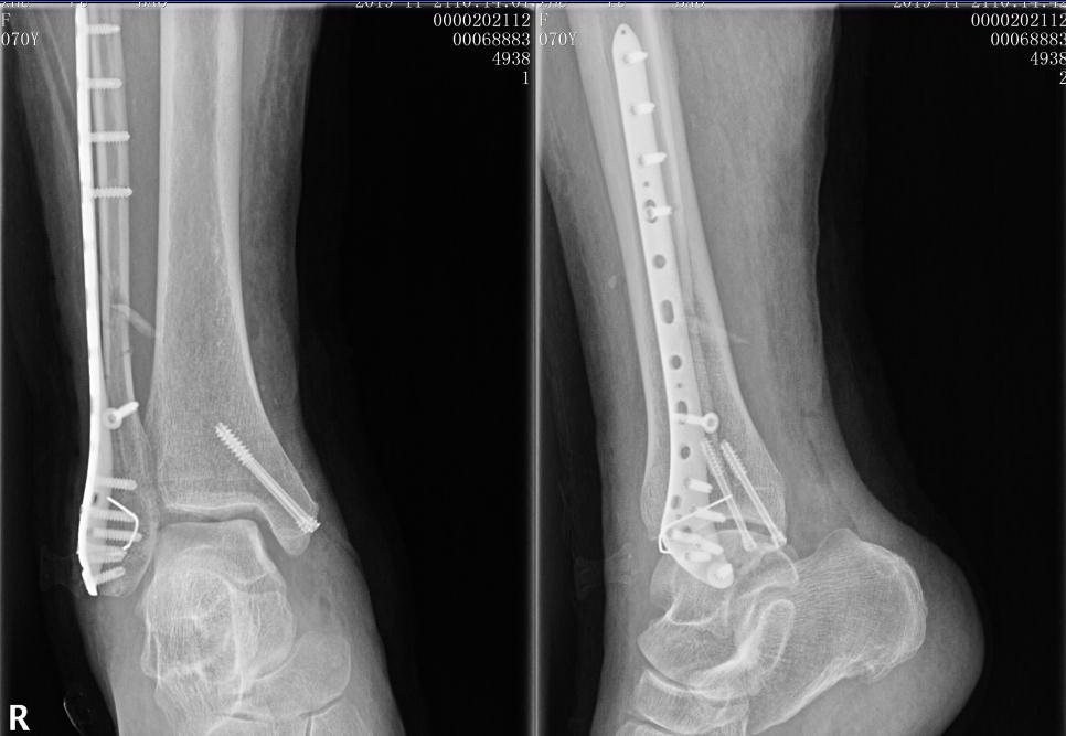
腓骨骨折の手術法 腓骨の長さを正しく保ち、側方転位や回旋転位を残さないことが大切で、スクリューとプレートによる固定を行います。 術後 術後2~3日目から足関節の可動域訓練を開始します。 骨折から1年と1か月、とうとうプレートとボルトを抜く抜釘手術を受けてきました。 骨折の経緯は下記 アイスクライミングで右足果部 腓骨・脛骨骨折 復帰までの記録 ①受傷から手術~退院まで ムカデのおにいさんのブログ アイスクライミングで右足果部腓骨・脛骨骨折 復帰までの記録 腓骨骨折手術後のリハビリ、プレート摘出手術 /5/に階段からジャンプした際に足をひねって着地したことで、左足腓骨を骨折。 (外くるぶしから5センチ程上部分の腓骨が斜め方向へ割れた様に骨折していました。 ) 現在、術後一か月が経ち、手術



脛骨與腓骨骨折 Fractures Of The Tibia Dr Tc Wong 王德銓醫生骨科專科醫生 Facebook




腓骨骨折需要手术吗 胫腓骨骨折
手術一年後,約有33%病患可重回受傷前的基 本日常生活自理,此與年齡、健康狀態及骨折嚴重 程度有相對關係。約有92%的病患未來可以獨立行 走,但僅有41%的病患重回受傷前的行走能力。 另有研究顯示,物理治療頻率,與居家運動執行第3骨片を伴う斜骨折および腓骨近位端骨折を認め た.受傷後12日目に観血的整復を行い髄内釘手術を 行った.術後3週より部分荷重歩行,5週より全荷重 歩行を行い,術後15週の単純x線像にて骨癒合と判脛骨骨幹部、腓骨骨幹部骨折の後遺障害による損害額 後遺障害が認定される場合、逸失利益や後遺障害慰謝料が加算されるので、後遺障害が認定されない場合に比べて損害額は大幅に高くなります。 具体的算定例(40歳男性会社員 年収500万円と仮定した



右胫腓骨粉碎性骨折的手术 疾病分享 快速问医生




脛骨及腓骨骨折 物理治療 診療服務 Centre Of Rehabilitation Exercising Specialist 健衡物理治療及專項訓練中心
鋭意リハビリ中腓骨骨折手術から3週間~ 3/23 手術から3週間経過後の検診。 レントゲン、触診にて問題無しとの事。 支えありで片足立ち可能になったのを確認され、松葉杖の取り外し許可が出る。 可動域は逆の足と比べて7割程、この時期でこれ 2/1128までの医療費のトータルは9万7360点 1点=1円です。 これに負担割合をかけますのでおおよそ30万仕事 高いのか安いのかは別にして 私の場合全身麻酔で脛骨に長い (約15cm) プレートを入れました。 手術で2万6000点 麻酔で7800点で 小計3万4000点の 約10万5000 腓骨はとても細い骨ですが、足関節も構成するためとても重要な骨です。 腓骨骨折の手術やリハビリとは? みなさんの周りにも足首を骨折した方がいらっしゃると思います。 足関節の骨折は脛骨や腓骨のくるぶし部分の骨折です。




右足 腓骨骨折 数日 1週間 Takeuma S Blog



脛腓骨骨折 A 醫學百科
術のK046 骨折観血的手術の留意事項通知に「前腕骨又は下腿骨骨折の手 術に際し、両骨(橈骨と尺骨又は脛骨と腓骨)を同時に行った場合であっ て、皮膚切開が個別の場合には、別の手術野として骨折観血的手術の「2」 足首の骨折をすると "どのくらいで歩けるようになるのか" 気になりますよね。 私も多くの方から、このようなご質問をよく聞かれます。 今回はそんな疑問にお応えし、 足首の骨折後はどのくらいで歩けるようになるのか 、 ちゃんと歩けるようになるのか ご紹介 します。



1




小腿胫腓骨骨折后 医生不急于手术 为什么 术前要注意些什么呢 网易订阅



悟空问答 我左胫腓骨骨折手术 已四个月了 怎么还没有长骨咖 有什么办法没有 14个回答




腓骨骨折 知乎




闭合复位交锁髓内钉治疗粉碎性胫腓骨骨折 复旦大学附属上海市第五人民医院




Maisonneuve骨折手术治疗腓骨骨折伴胫腓韧带损伤 病例中心 诊疗助手 爱爱医医学网



祝贺登巴巴手术成功 和您聊聊胫腓骨骨折那点事




胫腓骨骨折外固定支架



狗狗胫腓骨骨折了 一例幼犬胫腓骨骨折内固定治疗体会 大爱毛球 萌狗网




腓骨骨折手術腓骨骨折一定要手術治療嗎 Qqkaii




腓骨骨折康复记录 知乎




腓骨骨折 症状 治疗和恢复




小腿胫腓骨骨折后 医生不急于手术 为什么 术前要注意些什么呢 网易订阅



小腿胫腓骨骨折后 医生不急于手术 为什么 术前要注意些什么呢 网易订阅




腓骨骨折需要手术吗 胫腓骨骨折




腓骨骨折用不用動手術 每日頭條




右足腓骨骨折 手術 リハビリの記録 Suzushi Net




小腿胫腓骨骨折打了钢板 快三年了还没取 时间是不是有点长了 再取会有难度吗 骨康蝮蛇木瓜胶囊




9岁女孩胫腓骨骨折 手术机器人辅助完成手术 壹读



腓骨骨折用不用动手术 悟空问答



遠端脛腓骨開放性骨折治療心得分享




人和悍将初步诊断腓骨骨折俱乐部将安排赴德手术 冯仁亮 饶伟辉 网易体育




右腿小腿大小胫腓骨骨折 知乎




腓骨骨折怎么手术处理 骨折术后注意这七点 骨骼愈合更轻松 知乎




腓骨骨折 ひこつこっせつ 横浜市保土ヶ谷区の横山医院



腓骨骨折手术全过程 西瓜视频搜索



热议 腓骨骨折竟然也有不愈合之时 这个患者究竟该如何处理呢 新闻 蛋蛋赞



云南圣约翰康复医院 臀肌挛缩症 先天性斜颈




右腳腓骨骨折記錄 Acswoa S Home 隨意窩xuite日誌



手术治疗maisonneuve骨折失误1例报告




人生中第一次手术 脚踝腓骨骨折手术 知乎




腓骨骨折需要手术吗 胫腓骨骨折




腓骨骨折的这些天 知乎




腓骨骨折康复记录 知乎



Q Tbn And9gctx2ycjzgvviyppva09j8z2ikupzxw4c7ar1r 2gx7tunrr E1 Usqp Cau




关注 骨折了就必须打石膏 绑绷带 拄拐杖 留下大大的疤痕吗 健康频道 手机搜狐



脛腓骨骨折 髓內釘手術後 自我怎樣判斷骨頭已長好 Getit01



右胫腓骨粉碎性骨折的手术 疾病分享 快速问医生



猫胫腓骨骨折的治疗方法 猫咪常见病 波奇网百科大全



脛腓骨骨折 A 醫學百科



育源堂中醫診所 輕度骨折一定要手術嗎 Facebook



悟空问答 胫腓骨骨折手术后多久取钢板 6个回答




右足腓骨骨折 手術 リハビリの記録 Suzushi Net



腓骨骨折有什麼症狀 注意跟軟組織損失作區別 雪花新闻



祝贺登巴巴手术成功 和您聊聊胫腓骨骨折那点事




腓骨骨折護理注意什麼 骨折後不注意這幾個方面准有後遺症 每日頭條



右胫腓骨骨折术后2年骨不连 信息评鉴中心 酷米资讯 Kumizx Com



腓骨骨折 万图壁纸网




常見的腓骨骨折與開刀治療 Dr Woo 吳凱文醫師的ibone 痞客邦



脛腓骨骨折 A 醫學百科




骨折微创手术 小切口解决大问题 每日头条




腓骨骨折需要手术吗 胫腓骨骨折



腓骨骨折手术步骤图解 搜狗图片搜索



胫腓骨骨折个手术图解 搜狗图片搜索



腓骨骨折手术全过程 西瓜视频搜索



脛骨高原骨折手術therapy 骨折



悟空问答 右胫腓骨骨折多少天能下地负重行走 2个回答




腓骨骨折 知乎




腓骨骨折手術hashtag



Q Tbn And9gcqiqe9gmxh5xwysabfofngengdigevzsqh7l5q5oke9vykbkjfl Usqp Cau




远端腓骨骨折 错位 明天手术 打钢板 懂球帝




腓骨骨折護理注意什麼 骨折後不注意這幾個方面准有後遺症 每日頭條



1




腓骨骨折康复记录 知乎



胫腓骨骨折手术图 万图壁纸网



脛腓骨骨折 A 醫學百科




出了车祸胫腓骨骨折只接了胫骨没有接腓骨 是不是以后都有影响 虎扑



胫腓骨骨折的微创手术 健康号 微医




股骨胫腓骨骨折 家猫 Prcl S系统内固定手术成功 赵国军医生 Bluesao 佰陆



悟空问答 我左胫腓骨骨折手术 已四个月了 怎么还没有长骨咖 有什么办法没有 14个回答



悟空问答 小腿骨折手术后已经四个月了 在不知道有没有愈合情况下可以喝酒吗 需要注意些什么 14个回答



胫腓骨骨折长骨痂图片 万图壁纸网



胫腓骨骨折术后康复训练 太原和平医院




脚踝骨折 腓骨末端 撕脱性 知乎



手术治疗maisonneuve骨折失误1例报告



骨折手术打钢板图 信息评鉴中心 酷米资讯 Kumizx Com




腓骨骨折康复记录 知乎




胫骨腓骨骨折术后锻炼右胫腓骨骨折术后有哪些并发症 后遗症状



常见骨折胫腓骨骨折是什么呢 日常生活中该怎样去避免




骨折微創手術傷口美觀癒合快 即時新聞 自由健康網




腓骨骨折的这些天 知乎



腓骨骨折用不用动手术 悟空问答



胫腓骨骨折的微创手术 健康号 微医



胫腓骨骨折的微创手术 健康号 微医



胫腓骨陈旧性骨折 医联




腓骨骨折需要做手术吗做与不做恢复时间分别多久各有什么隐患做的话是怎样一个过程31岁 知乎



常见骨折胫腓骨骨折是什么呢 日常生活中该怎样去避免



腓骨骨折手术切口 图片搜索




胫腓骨骨折的脚裸如何锻炼 39健康经验



猫胫腓骨骨折的治疗方法 猫咪常见病 波奇网百科大全



Tjezmigl9g 6bm




案例 踝关节骨折 外踝远端腓骨骨折




腓骨骨折康复记录 知乎



腓骨骨折有什麼症狀 注意跟軟組織損失作區別 雪花新闻



手术案例 左腓骨骨折术后感染 成功案例 南京应天骨科医院




脚踝腓骨骨折手术后对打篮球有影响吗 虎扑




右腳腓骨骨折記錄 Acswoa S Home 隨意窩xuite日誌




腓骨骨折的後遺症 每日頭條
0 件のコメント:
コメントを投稿